- Cra 52 D N° 81-26 Segundo piso Centro de la Moda Itagüí, Colombia
- supersmile53@gmail.com
- (604) 5575390
- +57 311 3309 311

Es la especialidad de la Odontología que se ocupa de la corrección de la posición de los dientes y de su oclusión. El objetivo de esta corrección es conseguir una adecuada función masticatoria y excelentes resultados estéticos.
En SUPER SMILE contamos con diferentes alternativas de tratamiento ortodóncico de última generación para dar respuesta a las necesidades de nuestros pacientes.
• Brackets metálicos convencionales.
• Brackets estéticos: cerámicos y de zafiro.
• Brackets de autoligado.
• Ortodoncia invisible.
El especialista en ortodoncia es el encargado de explicarle al paciente cuál es la mejor alternativa de tratamiento según cada caso en particular. Estamos capacitados para realizar un tratamiento adecuado ortodóncico/quirúrgico en caso tal de que el paciente requiera tratamiento de ortodoncia más cirugía ortognática.
Salud y estética para tus encías La Periodoncia es una especialidad clave dentro de la odontología que se enfoca en la prevención, diagnóstico y tratamiento de enfermedades que afectan a los tejidos que rodean y sostienen tus dientes: principalmente las encías y el hueso alveolar.
Este servicio es fundamental para tratar condiciones como la gingivitis (inflamación de las encías) y la periodontitis (una infección más profunda que puede llevar a la pérdida dental si no se trata a tiempo).
La periodoncia no se queda solo en la salud: también se ocupa de mejorar la estética de tu sonrisa a través de procedimientos específicos como:
🔹 Cirugías plásticas gingivales, que permiten corregir el tamaño, forma o simetría de las encías. Esto incluye:
▪ Recontorneo gingival (para sonrisas con encías prominentes)
▪ Injertos de encía (para cubrir raíces expuestas)
▪ Alargamiento coronario (para preparar dientes antes de restauraciones)
🔹 Raspado y alisado radicular, para eliminar el sarro acumulado por debajo de la encía y reducir la inflamación.
🔹 Tratamientos regenerativos, para recuperar tejido óseo o gingival perdido por la enfermedad periodontal.
🔹 Cirugías periodontales avanzadas, cuando es necesario acceder directamente a zonas afectadas en casos severos.
🔹 Mantenimiento periodontal personalizado, con controles regulares que ayudan a evitar recaídas y mantener tus encías sanas a largo plazo.
En nuestra clínica tratamos cada caso con un enfoque personalizado, combinando tecnología moderna, manos expertas y un acompañamiento humano durante todo el proceso.
Es la especialidad de la odontología encargada de la salud oral de los niños así como el crecimiento armónico de los huesos de la cara, cuyo principal objetivo es el mantenimiento de una dentición sana hasta que nuestros pequeños lleguen a su adolescencia.
En SUPER SMILE contamos con un excelente equipo profesional que realiza con ética y calidad la atención de cada uno de nuestros pequeños, haciendo de las citas odontológicas una experiencia segura y divertida. www.supersmileodonto.com
La endodoncia, también conocida como tratamiento de conductos, es un procedimiento que actúa en el interior del diente y permite conservar la pieza dental, el hueso, la encía que le rodea y su funcionalidad.
Cuando el odontólogo practica una endodoncia realiza un procedimiento en el que se elimina tejido infectado, en el que están los nervios y los vasos sanguíneos de la parte interior del diente y lo sustituye por un material inerte, de tal forma que se acaba con la infección y se insensibiliza el diente.
En SUPER SMILE contamos con especialistas que se dedican a ello, los endodoncistas, ya que se trata de una técnica exigente y requiere de profesionales y equipos cualificados especialmente para ella. ¡Tu salud en manos de profesionales expertos!
Beneficios
La mayoría de las endodoncias se realizan en una sola cita. Buscamos que las endodoncias realizadas vayan más allá de tratar una raíz dental, utilizamos tecnología de punta para garantizar que tu tratamiento sea seguro y exitoso.
Realizamos diversa cantidad de cirugías en tu boca para devolverte la salud, estética y función. Estas intervenciones son realizadas por un profesional experto como lo es el/la cirujan@ maxilofacial
• Extracción de dientes supernumerarios y cordales.
• Frenillectomía
• Enucleación de quistes.
• Ventanas quirúrgicas.
• Cirugía exploratoria.
• Bichectomía.
Si te da pánico que te realicen cualquier tipo de cirugía no te preocupes, con nuestro servicio de sedación consciente con óxido nitroso tendrás un procedimiento tranquilo. Porque tu salud y la de tu familia es nuestra prioridad.
Beneficios
Es realizado por profesionales altamente calificados como los cirujanos maxilofaciales y con tecnología de vanguardia para garantizar que tu procedimiento sea seguro, tranquilo y exitoso.













Se enfoca en la prevención, diagnóstico y tratamiento de una amplia variedad de problemas dentales y de la salud bucal en general.
Ofrecemos servicios dentales de rutina y regulares, como limpiezas dentales, radiografías, restauraciones y es el primer filtro para remitir a nuestros pacientes hacia el especialista que necesite según su diagnóstico inicial.
Contar con Odontólogos Generales como los de Super Smile garantiza un cuidado integral de tu salud bucal, desde la prevención hasta el tratamiento, su experiencia y precisión aseguran una sonrisa saludable y duradera.
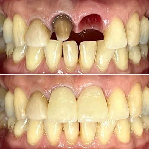
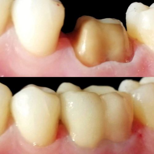
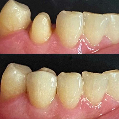
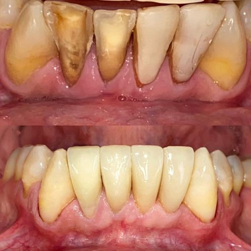
No te preocupes si te falta un diente, en Super Smile te ofrecemos las mejores alternativas de tratamiento para que reemplaces los dientes perdidos y de esta forma logremos función, estética y armonía para que sonrías con tranquilidad.
Esto lo logramos a través de coronas, láminas cerámicas, prótesis convencionales, prótesis sobre implantes, utilizando diferentes técnicas clínicas y de laboratorio. Trabajamos con materiales y laboratios dentales excelentes lo que garantiza durabilidad, estética, funcionaliad y estabilidad en el tiempo.
Estos procedimientos son realizados por especialistas en rehabilitación oral, porque tu salud y la de tu familia es nuestra prioridad y la ponemos en las mejores manos.
Los implantes dentales tienen la función de reponer las piezas dentales que se han perdido. Un implante es una raíz artificial hecha de titanio o zirconio que sustituye la raíz del diente dentro del hueso para posteriormente ser rehabilitado.
Es una opción realmente duradera y resistente y ayuda al paciente a evitar la incomodidad de las prótesis removibles , son altamente estéticos, crean un aspecto natural, mejoran tu autoestima y son más efectivos en la masticación.
Confía en los especialistas en implantes dentales de Super Smile para recuperar tu confianza al sonreír. Con un enfoque personalizado y tecnología de punta, nuestros expertos en implantología te ofrecen soluciones precisas y duraderas.
¿Qué se espera de un implante dental? En Super Smile entendemos que un implante dental no solo es una solución para reemplazar dientes perdidos, sino una oportunidad para recuperar la funcionalidad y la estética de tu sonrisa.
En SUPER SMILE la estética dental ocupa un lugar muy importante en la atención de nuestros usuarios, por lo que implementamos técnicas y procedimientos vanguardistas que buscan mejorar tanto la función como la estética, impactando positivamente su autoestima y calidad de vida.
El diseño de sonrisa es un conjunto de procedimientos necesarios para cambiar el color, tamaño, forma y posición de los dientes teniendo en cuenta aspectos importantes como la forma de la cara, el color de la piel y en general la contextura del paciente, con el fin de brindarle armonía y estética
Para estos casos SUPER SMILE ofrece carillas estéticas en resina o cerámicas, lentes cerámicos, incrustaciones, recortes de encía, ortodoncia y aclaramiento dental.
Nuestros especialistas son los encargados de analizar tu sonrisa para brindarte la mejor alternativa de tratamiento buscando armonía, naturalidad y estética.
Es un tratamiento estético no invasivo que combina el aclaramiento dental con la aplicación de bordes en resina de alta estética en los dientes frontales, normalmente entre 4 y 6 dientes. Este procedimiento nos permite modificar de manera sutil el tamaño, la forma y el color de los dientes, conservando su naturalidad, armonía y estética.
A diferencia del diseño de sonrisa completo, donde la resina o las carillas cubren toda la superficie frontal del diente, el microdiseño trabaja exclusivamente sobre el borde dental. Esto significa que no requiere desgastes, es completamente reversible y respeta la estructura natural de tus dientes.
En nuestra experiencia, muchas personas con dientes hermosos terminan con tratamientos innecesarios e invasivos, cuando en realidad un microdiseño puede ser la solución perfecta para realzar tu sonrisa de manera natural.
Beneficios
No provoca dolor ni molestias. Se conserva la naturalidad de tu sonrisa. Es una técnica rápida y sin traumas. Tus dientes no se desgastan de ninguna forma. No hay efectos secundarios en la mayoría de pacientes
Es un tratamiento completamente personalizado que se realiza basándose en un estudio de imágenes 3D del paciente en las que se podrá ver todo el proceso: desde la posición inicial de los dientes hasta el resultado final.
Te los puedes retirar para comer y cepillarte por lo que son más cómodos e higiénicos, no tienes restricciones alimenticias y el tratamiento se realiza en menos tiempo porque el recambio de alineadores se realiza más frecuente que la citas de los brackets, por lo tanto, el tiempo de tratamiento se reduce a la mitad o menos.
Con nuestros alineadores personalizados lograremos la sonrisa que siempre has soñado de manera discreta, apenas notarás que los estás usando mientras trabajan silenciosamente para lograr la sonrisa de tus sueños. ¡Ven para que juntos construyamos la sonrisa de tus sueños!